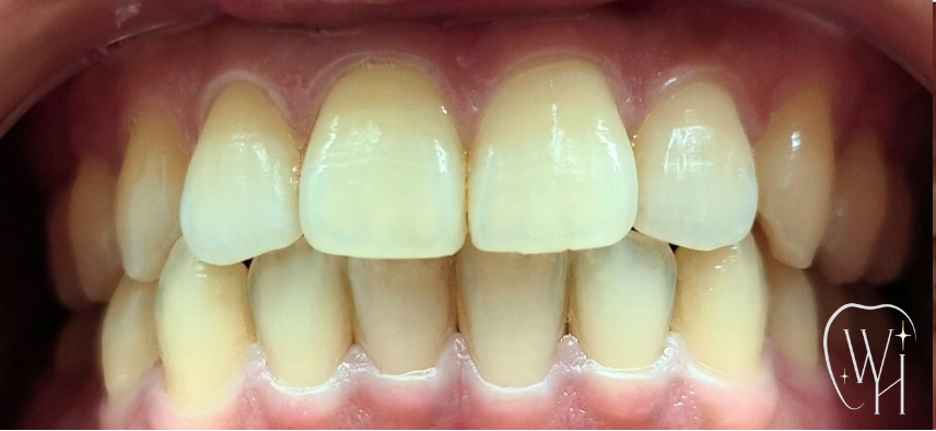
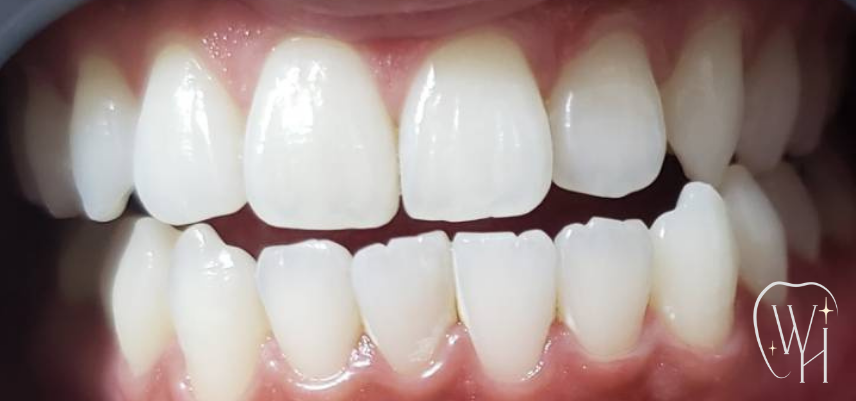
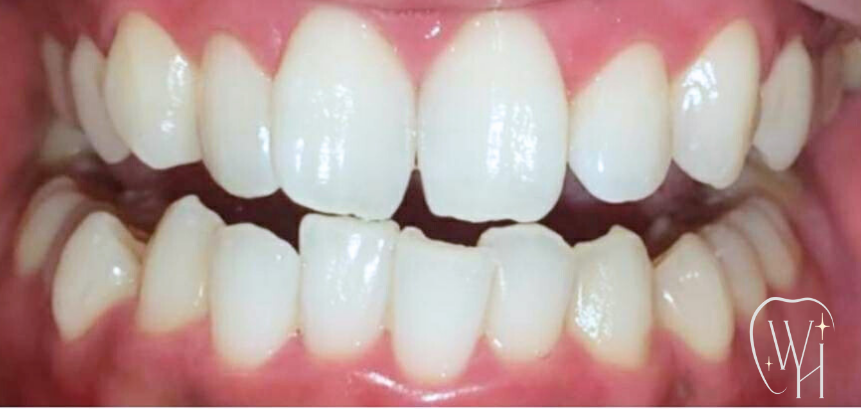
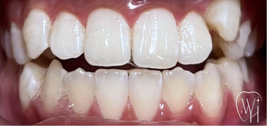
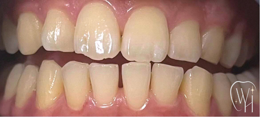
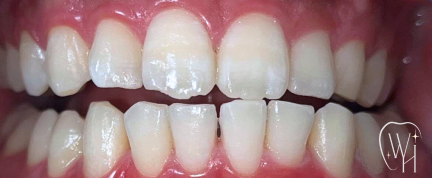
過去にホームホワイトニングがしみて続けられず不安でしたが、ここはしみずに毎回明るくなるのを実感。シェードもS20→S6に。写真の笑顔が変わりました。
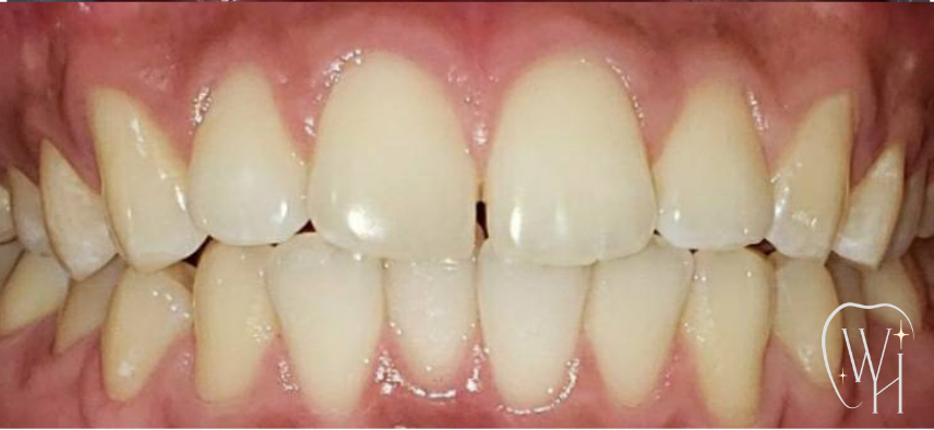
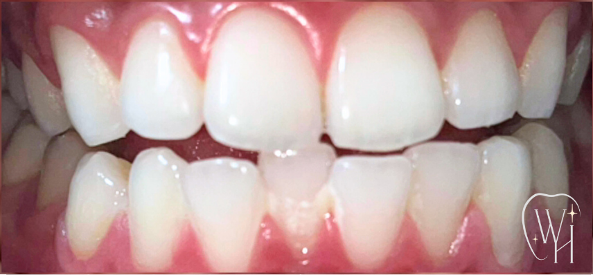
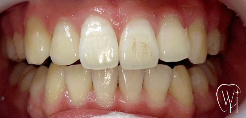
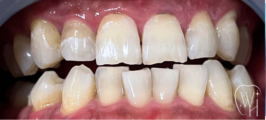
歯科衛生士をしている妹が「ここ良いと思う」と教えてくれたのが通い始めたきっかけ。続けやすかったので気付けば1年半。写真を撮るときに歯の黄ばみを気にせず笑えるようになりました。
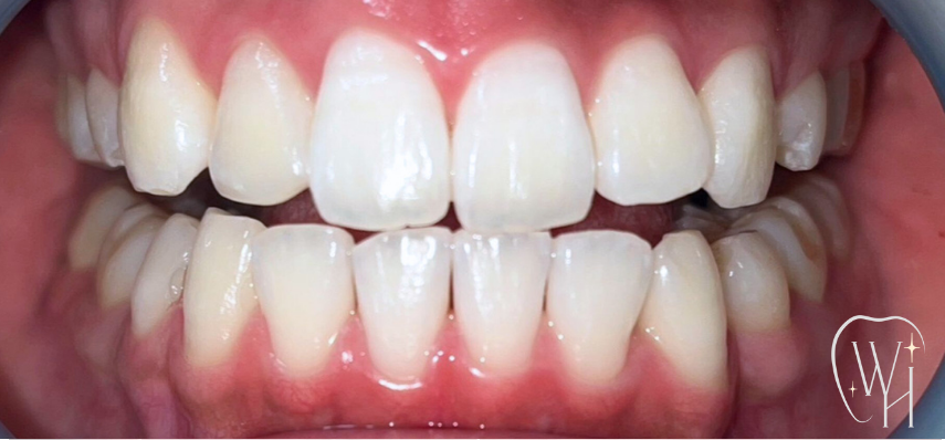
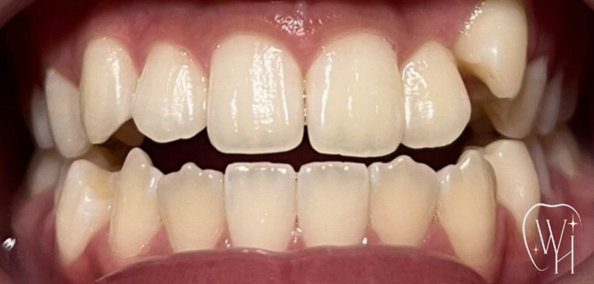
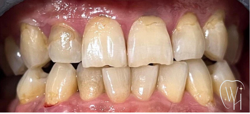
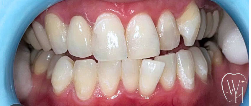
※ 掲載しているお客様写真はイメージです。プライバシー保護のため、レビュー本文を寄せてくださった方とは別の方の写真を使用しています。シェードの数値・コメント内容はご本人によるものです。
※ 個人の感想であり、変化には個人差があります。




























